Parodontologija

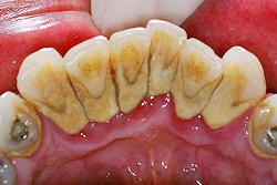
Fotografija 20Parodoncij je ime za pričvrsni sustav koji zub drži u kosti, a parodontolgija je grana stomatologije koja proučava taj sustav i nastoji liječiti bolesti vezane uz njega. Prvi znaci parodontalne bolesti  javljaju se u obliku gingivitisa, upale zubnog mesa, koja nastaje zbog većih količina bakterijskog plaka na zubima. Zube je teško dobro očistiti, a bakterije su stalno nazočne u usnoj šupljini. Naslage zubnog kamenca koji je hrapav i četkici  teško dostupna mjesta, predstavljaju pogodno područje za razvoj bakterija produkt čijeg metabolizma oštećuje tkiva. Gingiva, zubno meso, izložena većoj količini bakterijskog toksina, razvija upalni odgovor, koji vidimo kao crvenilo i otok, a nazivamo gingivitis. Takva, upaljena gingiva, krvari i na lagani dodir. Ne poduzmemo li ništa, infekt će prodrijeti i u dublja tkiva, a upalni odgovor tih tkiva zovemo parodontitis.

Fotografija 21Uznapredovali parodontitis završava gubitkom zuba, ali i većom destrukcijom čeljusne kosti što predstavlja veliki klinički problem. Najbolji oblik parodontalne terapije je preventivna terapija. Sastoji se u detaljnom čišćenju zubnog kamenca i učestalim pozivima na kontrolu. Kontrolnim pregledima provjeravamo usklađenost prehrambenih i higijenskih navika, čistimo i poliramo zube i nastojimo, u razgovoru s pacijentima, objasniti paradontalnu bolest i važnost suradnje u prevenciji. Kod napredovalih oblika bolesti primjenjujemo kirurške metode koje daju najpouzdanije rezultate

narucipitaj